Artificial Intelligence
Matrix Analytics Uses Deep Learning on AWS to Boost Early Cancer Detection
Matrix Analytics is helping to save lives. The Colorado-based startup uses deep learning on Amazon Web Services (AWS) to track disease progression for patients diagnosed with pulmonary nodules in their lungs. While often benign, careful monitoring and follow-up care are critical to knowing if and when those nodules will turn into malignant tumors.
The company’s founder, Dr. Aki Alzubaidi, was working at a Glenwood Springs hospital when he realized that some patients were falling through the cracks. The system for keeping track of them was cumbersome and disorganized, leading to unnecessarily poor outcomes for many patients with lung nodules who don’t receive the recommended follow-up care.
Predicting cancer risk and managing care
LungDirect, the company’s flagship software application, uses a two-pronged approach to early cancer intervention: predicting malignancy risk and automating follow-up care.
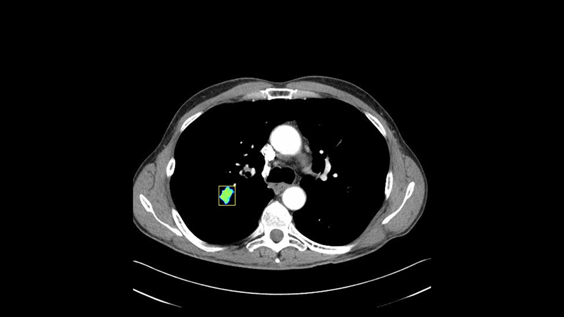
First, advanced computer vision capabilities built with deep learning algorithms assess the malignancy risk of pulmonary nodules based on factors such as nodule size, shape, density, volume, as well as patient demographics such as years smoking, age, gender, and race. “We want to be able to take any clinical input such as a radiology test, lab test, or personalized clinical variables and say here is the likelihood of a disease state and provide output on utility and management of next steps, and that’s our goal with deep learning,” said Dr. Alzubaidi.
Five distinct classes of machine learning models are applied to cancer risk assessment in order to account for the distinct classes of nonlinearities that could be hiding in the data. Four distinct classes of features are auto-extracted directly from the images using a set of computer vision algorithms.

Developing a tool that could “auto-magically” read patient scans to predict and diagnose cancer was not easy. But Matrix Analytics was able to quickly develop a prototype that showed proof of concept. Then the company’s deep learning models were implemented and compared to benchmarks in the preexisting literature.
The Matrix Analytics tools were able to outperform previous methods in their ability to diagnose cancer from a CT image. And compared to conventional methods, deep learning requires no hand-tuned feature extractor, making the process much more independent.
The second prong of the LungDirect approach is care management. The software automates follow-up care to ensure that each patient follows through with recommendations in order to monitor changes in their condition. Today, 11 healthcare agencies and institutions—from the Cleveland Clinic’s facilities across the country to UCHealth in Denver and Community Hospital in Grand Junction—are using LungDirect. The result has been a significantly higher rate of early lung cancer intervention for patients.
This adaptive system is now deployed on the AWS Cloud infrastructure and is available to leaders in pulmonary nodule and lung cancer management on a software-as-a-service model.
Computer vision algorithms predict tumors from CT scans

Cloud-based deep learning
Matrix Analytics uses the AWS Cloud infrastructure to process large amounts of data and complex operations. In particular, they depend on the power and scalability of GPU-powered clusters from AWS, which are ideally suited for deep learning workloads.
The company’s LungDirect system is designed to keep improving in a virtuous circle of iterative learning. Notes Dr. Alzubaidi, “The possibilities are endless with what we can do on AWS to help our customers.”
Matrix Analytics uses the AWS Deep Learning AMI (Amazon Machine Image) and TensorFlow on AWS to build and train computer vision algorithms. The AWS Deep Learning AMI comes pre-configured with popular frameworks such as Apache MXNet, TensorFlow, Caffe, and Keras. These are pre-built, open-source libraries that allow developers and data scientists to build deep learning models quickly and easily.
“Using the convenience of the AMI on AWS gives us the opportunity to offer up different business models, which allows us to become excellent technology partners as the market evolves at an ever-increasing pace.” said Dr. Alzubaidi.
About the Author
Cynthya Peranandam is a Principal Marketing Manager f
or AWS artificial intelligence solutions, helping customers use deep learning to provide business value. In her spare time she likes to run and listen to music.